Adolesan Femur Pediatric
Adolesan Femur Pediatric
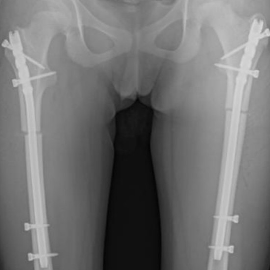
The nail features a design that accommodates a lateral entry site through the greater trochanter. It has an anatomic shape and is made of titanium, being a cannulated nail suitable for both reamed and unreamed techniques.
The nail is available in lengths ranging from 240 mm to 400 mm, in 20 mm increments. It is specifically designed for patients in whom Titanium Elastic Nails are not large enough, and the Lateral Femoral Nail for adults is too large. The nail comes in 8.2 mm, 9 mm, and 10 mm diameters, all with a proximal end diameter of 11 mm.